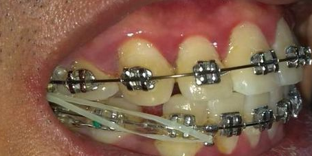
1、关闭间隙:我们千万不要小看小小的橡皮圈哦,它可是拥有着神奇的力量,戴着不知不觉就将拔牙空间慢慢关闭了。

2、调整咬合:还可以将牙齿的咬合关系调整到相对理想的状态,就像齿轮那样尖窝相对,良好的咬合关系,不仅大大的提高了我们的咀嚼功能,还能缓解胃肠的压力呢。

3、调整中线:将牙齿牵引到预计的位置,防止牙齿中线不正影响到美观,爱美之心人皆有之,大家对生活质量的要求也越来越高,所以,调整中线可以让我们更加美美哒。


5、使咬合更紧密:让上下的牙齿紧紧贴在一起,接触面积达到最大,咀嚼效率达到最高。

1、牵引皮圈力量在口内快速衰减,说明牙齿一直处于受力的状态,没有静止休息的时间,这样会损伤牙齿;皮圈力量逐渐减弱,能够让牙齿健康平稳的移动;所以不建议频繁更换。

1、除非医嘱要求,不然白天不戴晚上戴是不行的,时戴时不戴,牵引效果会降低,甚至会起不到作用,最终会影响矫正效果的。

1、医生在给患者牵引皮圈时,给哪一种力度的皮圈,挂几个,都是考量过的,妄不可自作主张,牙齿移动有适力值,力量过大,一是会造成牙齿损伤,二是过大的力量牙齿反而是不移动的,所以还是老老实实遵医嘱。

1、不担心,对身体没什么影响,记得换一个新的皮圈。吞咽的橡皮筋,也只是在体内进行一番轮回,一般不会有什么意外。不过若经常有橡皮筋在口内不见的情形,需告知矫正医师,并检查是否有橡皮筋卡在牙龈沟里,以免造成严重的牙周破坏。